
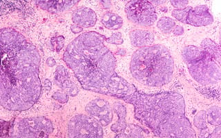
Metastatic tumors are formed when cancer-causing cells spread to other parts of the body. Detecting these tumors is critical to a patient’s prognosis, but these tumors often go unnoticed until far too late.
Every year, half of million lives are claimed by breast cancer, with metastasis responsible for an estimated 90 percent of these deaths, says VentureBeat. The tech news outlet reports that Google’s AI team and researchers at the Naval Medical Center San Diego recently published a paper about LYNA (Lymph Node Assistant), its artificial intelligence solution that can dramatically improve detection accuracy using cancer-detecting algorithms to evaluate lymph node biopsies.
Published in The American Journal of Surgical Pathology, their paper titled “Artificial Intelligence-Based Breast Cancer Nodal Metastasis Detection” described their AI system achieving a detection accuracy of 99 percent. Compared to human pathologists whose error rate in identifying small metastases under time constraints can be as high as 62 percent, the advantage is unmistakable.
“Artificial intelligence algorithms can exhaustively evaluate every tissue patch on a slide,” the authors of the paper stated in their paper. “We provide a framework to aid practicing pathologists in assessing such algorithms for adoption into their workflow (akin to how a pathologist assesses immunohistochemistry results).”
“[Lyna] achieves higher tumor-level sensitivity than, and comparable slide- level performance to, pathologists,” the researchers wrote. “These techniques may improve the pathologist’s productivity and reduce the number of false negatives associated with morphologic detection of tumor cells.”
While LYNA is promising, work remains to be done. Occasional misidentifications include misidentified giant cells, germinal cancers, and bone marrow-derived white blood cells known as histiocytes. Still, tests showed that it performed better than a human pathologists who evaluated the same slides. The scientists plan to determine whether LYNA improves efficiency or diagnostic accuracy.
“[Lyna] achieves higher tumor-level sensitivity than, and comparable slide- level performance to, pathologists,” the researchers wrote. “These techniques may improve the pathologist’s productivity and reduce the number of false negatives associated with morphologic detection of tumor cells.”
VentureBeat notes that LYNA marks another breakthrough in a long line of Google’s investment in AI health care applications this year, including an AI system that predicts the likelihood of hospital readmission and a machine learning network that can gauge a person’s cardiac health risks.